Home Journals Chinese Journal of Alzheimer's Disease and Related Disorders
Chinese Journal of Alzheimer's Disease and Related Disorders

Abbreviation (ISO4): Chinese Journal of Alzheimer's Disease and Related Disorders      Editor in chief: Jun WANG

About  /  Aim & scope  /  Editorial board  /  Indexed  /  Contact  / 
Works

The clinical analysis of 18 cases with early on-set Alzheimer's disease

  • XU Chun-yan ,
  • QIU Guo-zhen ,
  • GUO Qi-wen ,
  • WU Kai-yu ,
  • CHEN Chun-chun ,
  • LI Ming-kun ,
  • MENG Xue-ya ,
  • ZHU Fei-qi
Expand
  • Cognitive Impairment Ward of Neurology Department, The Hospital of Luohu District, Shenzhen, Guangdong 518001, China

Received date: 2021-02-01

  Revised date: 2021-03-05

  Online published: 2021-06-25

Abstract

Objective: To explore the clinical characteristics of early on-set Alzheimer's disease (AD), improving the understanding of the diagnosis and treatment of the disease. Methods: This was a case-retrospective study on the data of clinical manifestations, neuropsychology, dynamic EEG and structural MRI of 18 early on-set AD patients who were proved with cerebral spinal fluid AD biomarkers. Results: The average age of 18 patients(6 males,12 females) with AD was 55.4 years old, and the average course of the disease was 5.6 years.17 patients suffered memory loss as initiate symptom, and 9 patients had family histories of dementia. The average score of MMSE was 14.3, and there existed 12 patients with moderate and severe dementia. Among 13 patients who accomplished gene whole-exon sequencing, we found 3 cases with PSEN1 mutations, 4 cases with SORL1 mutations, 1 case with ABCD7. At the same time, the carrying frequency of APOE gene ε2, ε3, ε4 in 18 patients was 1/36, 27/36 and 9/36, respectively. All 13 cases who accepted dynamic EEG testing showed abnormal EEGs with epileptiform discharge. The hippocampus atrophy of 8 patients was not significant. Conclusion: The clinical characteristics of the early on-set AD were hidden onset but developed fast. At the time of treatment, it has often been developed into severe dementia, with decline memory as initiate symptom and most patients have family history of dementia. Epilepsy discharge of EGG were detected more commonly in these patients, whose carrying rates of AD causing genes and AD risk genes were also higher than normal ones. And some cases had less hippocampus atrophy.

Cite this article

XU Chun-yan , QIU Guo-zhen , GUO Qi-wen , WU Kai-yu , CHEN Chun-chun , LI Ming-kun , MENG Xue-ya , ZHU Fei-qi . The clinical analysis of 18 cases with early on-set Alzheimer's disease[J]. Chinese Journal of Alzheimer's Disease and Related Disorders, 2021 , 4(2) : 110 -115 . DOI: 10.3969/j.issn.2096-5516.2021.02.004

阿尔茨海默病(Alzheimer's disease, AD)是老年性痴呆最常见的类型,约占老年性痴呆的50%~70%[1]。国际上习惯于将65岁以后发病的AD称为晚发型AD,65岁之前发病的AD称为早发型AD,其中早发型AD的患病率不足10%[2]。我国习惯于将AD称为老年性痴呆,容易误导大众认为AD仅见于老年人群,延误对该病的尽早识别。为提高对早发型阿尔茨海默病的认识及诊治水平,我们回顾性地分析了2018~2021年期间在我院神经内科记忆门诊和认知障碍病房诊治的18例经脑脊液检查确诊的早发型阿尔茨海默病患者的临床特点,为广大从事认知障碍领域的同道在临床工作中提供一定的参考,现报道如下:

1 资料与方法

18例患者中,男6例,女12例,均为隐匿起病,平均发病年龄55.4岁(39~63岁),就诊时平均病程5.6年(2~10年)。对于每一位患者均向患者本人或照料者采集详细的病史,由神经内科医生体查并进行总体认知功能评估,均完善常规血清学检查,均完成载脂蛋白E(APOE)等位基因检测,13例患者完成基因全外显子测序(北京金准基因科技有限公司)。11例患者完成动态脑电图,所有患者均完成头颅磁共振平扫检查(包括水平位、矢状位、冠状位)及脑脊液检查Aβ42、Aβ42/Aβ40比值、pTau181及T-Tau蛋白浓度(杭州欧蒙未一医学检验实验室)。早发型阿尔茨海默病的诊断采用2018年美国国立卫生研究院老化和阿尔茨海默病协会提出的NIA-AA研究框架的诊断标准[3]

2 结果

2.1 临床表现

18例患者均有明显的记忆力下降,在17例患者中为首发表现,主要表现为不记得刚发生的事情、刚说过的话,不记得是否吃过饭,经常找不到东西,重复问同一个问题,反复说同一件事,重复做已经做过的事情,购物时重复付款等;语言障碍10例(自发说话减少、找词困难、理解及阅读能力下降、叫不出家人的名字);失用4例(不能正确的穿衣裤、衣服里外不分、把两只袜子穿同一只脚上、不能做扫地等简单家务,原来会使用的家用电器不会使用);定向力障碍4例(走失、在曾经很熟悉的地方迷路);失认1例(不认得镜中的自己,以为是别人并对话,把镜子打碎);易怒、情绪不稳8例(容易发脾气、暴躁、容易哭泣、做事没有耐心);睡眠障碍9例(易醒、难入睡、梦多、整夜不睡觉、日夜颠倒);多疑5例(怀疑保姆偷东西、怀疑饭菜被下毒);淡漠5例(对做事失去兴趣、不愿意做家务、不愿意与人交往);妄想2例(总认为有人跟踪、坚持说有人要来家里拜访、有人转走了银行账户的钱);视幻觉1例(看见屋顶有人在走动、有小孩在走来走去);行为异常3例(每天外出捡垃圾、夜间起床到处走动翻东西、去别人房间拿东西放自己抽屉、夹别人碗里的饭菜)。既往史分析发现,有3例合并桥本甲状腺炎、4例合并糖尿病、3例合并高血压、1例偏头痛、1例直肠腺癌、1例胃溃疡胃大部切除术后残胃癌、1例癫痫、1例脑外伤、1例合并硬膜下积液。9例有痴呆家族史。

2.2 神经心理学检查

18例患者均完成MMSE量表检查,均存在词语延迟回忆能力的受损,余在定向力、计算力、视空间、执行力有不同程度下降。将MMSE得分作为评估痴呆严重程度的标准,MMSE>21分为轻度痴呆;MMSE10~20分为中度痴呆,≤9分为重度痴呆[4],18例患者里中度痴呆5例,重度痴呆7例。大部份患者来就诊时因认知受损严重或精神行为症状而不能完成全套的神经心理学测验,仅有7例患者完成全套神经心理测验,其中6例在听觉词语学习测验长延迟回忆得分为0分,7例总记忆得分均低于界值;4例患者的Rey-O复杂图形测验临摹得分低于界值,6例患者的Rey-O复杂图形延迟回忆得分低于界值;5例患者的词语流畅性测验得分低于界值;3例患者的波士顿命名测验得分低于界值;6例患者连线测验B(trail making test, TMT-B)得分低于界值。

2.3 脑脊液检测阿尔茨海默病生物标志物

18例患者的脑脊液检查均表现为Aβ42降低(385.07±90.96 pg/ml), Aβ42/Aβ40比值降低(0.05±0.02),磷酸化Tau蛋白(181)(126.84±44.24 pg/ml)或T-Tau蛋白(684.17±265.44 pg/ml)升高。(见表1
表1 18例早发型AD患者脑脊液检测阿尔茨海默病生物标志物汇总

Tab.1 Summary of cerebral spinal fluid AD biomarkers of 18 patients with early-onset AD

病例 Aβ42(pg/ml)(<550pg/ml提示淀粉样病变) Aβ42/Aβ40比值(≤0.1提示AD可能) 磷酸化Tau蛋白(181)(pg/ml)(>61pg/ml提示神经纤维缠结) 总Tau蛋白(pg/ml)(>452pg/ml提示神经细胞死亡)
1 377.74 0.05 120.29 528.67
2 298.61 0.06 193.00 949.92
3 336.81 0.04 193.00 708.87
4 495.66 0.02 152.94 1017.40
5 431.31 0.09 80.65 392.78
6 511.33 0.05 193.00 1131.20
7 405.00 0.06 103.00 880.00
8 264.29 0.05 145.21 303.64
9 522.06 0.01 145.89 717.43
10 443.07 0.02 90.85 619.40
11 451.95 0.07 141.66 772.82
12 381.99 0.07 80.85 602.74
13 375.86 0.05 105.94 620.49
14 377.33 0.06 133.99 514.07
15 299.64 0.06 181.02 1223.13
16 338.62 0.03 93.00 493.50
17 172.15 0.02 68.03 376.08
18 447.87 0.09 60.86 462.98

2.4 载脂蛋白E(APOE)等位基因检测及基因全外显子测序(见表2)

表2 18例早发型AD患者临床特点汇总

Tab.2 Summary of clinical characteristics of 18 patients with early-onset AD

病例 性别 发病年龄 评估年龄 MMSE APOE 基因型 突变基因 家族史 动态脑电图 MTA视觉评分
1 39 49 27 E3/E4型 ABCA7基因 可见癫痫样放电。 0
2 41 51 15 E2/E3型 PSEN1基因 可见癫痫样放电。 0
3 42 44 8 E3/E3型 SORL1基因 1.大量慢波活动2.可见癫痫样放电 1
4 49 52 15 E3/E3型 SORL1基因 0
5 49 52 28 E3/E3型 未发现 局灶尖波、三相波,睡眠周期不完整。 0
6 54 61 7 E3/E3型 未发现 3
7 55 63 2 E3/E3型 PSEN1基因 可见癫痫样放电。 2
8 57 67 10 E3/E3型 3
9 58 60 26 E3/E4型 PSEN1基因 1.大量慢波活动2.可见癫痫样放电 1
10 59 62 13 E3/E4型 2
11 60 70 7 E3/E3型 SORL1基因 1.大量慢波活动2.阵发性δ波活动3.少量尖波 3
12 61 64 4 E3/E3型 SORL1基因 1.θ-δ慢波活动2.广泛阵发尖波、棘波 3
13 61 65 7 E3/E4型 未发现 3
14 62 65 20 E3/E4型 1.大量慢波活动2.可见癫痫样放电 1
15 62 68 24 E3/E4型 未发现 慢波活动增多。 1
16 62 67 23 E3/E4型 β活动增多,α节律未见。 2
17 63 66 11 E3/E3型 A2M基因 2
18 63 71 8 E3/E4型 2

Note: ①:Whole-exome sequencing of the gene did not detect pathogenic/suspected pathogenic variants that were clearly related to the clinical phenotype;②:The symbol “-” means that the check has not been done.;③:MTA visual score (medial temporal lobe atrophy rating scale score) [i]: Grade 0: no atrophy; Grade 1: only the widening of choroidal fissure; Grade 2: also accompanied by enlargement of the temporal horn of the lateral ventricle; Grade 3: moderate reduction in hippocampus volume (decreased height); Grade 4: severe reduction in hippocampus volume.

18例患者均完成载脂蛋白E(APOE)等位基因检测,ε2、ε3、ε4携带频率分别为1/36、27/36、9/36。13例患者完成基因全外显子测序,发现3例PSEN1基因突变,4例SORL1基因突变,1例 ABCD7基因突变,1例A2M基因突变。病例2,PSEN1基因8号外显子区域发现一处杂合突变: c.791C>T(胞嘧啶>胸腺嘧啶),导致氨基酸改变p.P264L(脯氨酸>亮氨酸),HGMDpro数据库报道情况:突变位点c.791C>T报道为致病突变。病例7,PSEN1基因8号外显子区域发现一处杂合突变: c.791C>T(胞嘧啶>胸腺嘧啶),导致氨基酸改变p.P264L(脯氨酸>亮氨酸),HGMDpro数据库报道情况:突变位点c.791C>T报道为致病突变。病例9, PSEN1基因11号外显子区域发现一处杂合变异:c.1186G>A(鸟嘌呤>腺嘌呤),导致氨基酸改变p.A396T(丙氨酸>苏氨酸),HGMDpro数据库报道突变位点c.1186G>A为可疑致病变异。病例3,SORL1基因9号外显子区域发现一处杂合突变: c.1397A>G(腺嘌呤>鸟嘌呤),导致氨基酸改变p.N466S(天冬酰胺>丝氨酸);HGMDpro数据库报道情况:突变位点c.1397A>G未见报道。病例4,SORL1基因25外显子区域发现一处杂合变异:c.3470A>G(腺嘌呤>鸟嘌呤),导致氨基酸改变p.Q1157R(谷氨酰胺>精氨酸);HGMDpro数据库报道情况:变异位点c.3470A>G未见报道。病例11,SORL1基因47号外显子区域发现一处杂合突变:c.6439A>C(腺嘌呤>胞嘧啶),导致氨基酸改变p.I2147L(异亮氨酸>亮氨酸);HGMDpro数据库报道情况:变异位点c.6439A>C未见报道。病例12,SORL1基因4号外显子区域发现一处杂合突变:c.579C>G(胞嘧啶>鸟嘌呤),导致氨基酸改变p.F193L(苯丙氨酸>亮氨酸);HGMDpro数据库报道情况:突变位点c.579C>G未见报道。病例1,ABCA7基因21号外显子区域发现一处杂合变异:c.2933T>C(胸腺嘧啶>胞嘧啶),导致氨基酸改变p.I978T(异亮氨酸>苏氨酸); HGMDpro数据库报道情况:变异位点c.2933T>C未见报道。病例17,A2M基因11号外显子区域发现一处杂合突变:c.1229A>C(腺嘌呤>胞嘧啶),导致氨基酸改变p.N410T(天冬酰胺>苏氨酸);HGMDpro数据库报道情况:变异位点c.1229A>C未见报道。

2.5 动态脑电图

11例完成动态脑电图检测,均为异常脑电图,多表现为慢波活动增多,可见癫痫样放电。(见表2

2.6 颅脑影像学特点

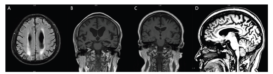
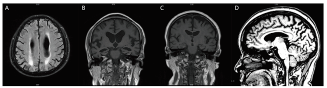
有12例患者的头颅结构影像表现为不同程度的额颞顶叶皮层萎缩,多为不对称性的,其中有8例患者出现不同程度的脑白质损害(图A)。所有患者均完成头颅MRI显影的内侧颞叶萎缩(MTA)视觉评分[5],有10例患者出现海马萎缩(图B);有4位患者的海马是正常的(图C),但均出现后扣带沟、顶枕沟增宽,后方扣带回和楔前叶萎缩的顶叶萎缩(图D);有1例患者未见明显的脑萎缩。
图A 病例8患者头颅MRI T2 FLAIR像脑白质损害融合成大的病灶;图B 病例8患者头颅MRI T1像冠状位见海马重度萎缩,MTA评分4级;图C 病例4患者头颅MRI T1像冠状位见海马正常,MTA评分0级;图D 病例4患者头颅MRI T1像失状位见后扣带沟、顶枕沟增宽,扣带回后方和楔前叶萎缩。

Fig.A T2-weighted Flair MRI images showing white matter lesions fused into large lesions in Case 8;Fig. B T1-weighted MRI images showing severe hippocampus atrophy in coronal position, and MTA score is 4 in Case 8;Fig.C T1-weighted MRI images showing normal hippocampus in coronal position, and MTA score is 0 in Case 4;Fig.D T1-weighted MRI images showing the posterior cingulate groove, parieto-occipital groove widening, cingulate back posterior and anterior cuneiform atrophy in sagittal position in Case 4.

3 讨论

早发型AD临床表现为隐匿起病,主要以记忆力下降为主要且突出的症状,这与晚发型AD的表现相似,但早发型AD的进展更快,早期难以识别,就诊时多为中晚期痴呆,疾病过程中可伴发精神行为异常,但缺乏特异性。晚发型AD多为散发性,与年龄增长相关;早发型AD多有痴呆家族史,基因检测对探讨早发型AD的病因有重要意义,我们报道的这18例早发型AD患者中有13例患者完成基因全外显子测序,发现3例PSEN1基因突变,4例SORL1基因突变,1例 ABCD7基因突变,1例A2M基因突变,基因突变检出率高达69.2%。位于14号染色体的早老素-1基因(presenilin 1, PSEN1)是目前明确的AD的致病基因,携带有PS1基因突变的人群100%会发展成为AD[6],且通常会在65岁之前起病[7];本文病例2和病例7均为PSEN1基因突变,且为同一突变位点,但两者的发病年龄却相差14年,病例2为高中学历,职业为收款员,而病例7为大学本科学历,早年移民国外从商,精通中文、英语和瑞典语,这提示高教育程度和丰富的人生阅历可能推迟AD的发病。病例2为PSEN1基因杂合突变所致阿尔茨海默病,同时合并帕金森病样症状,包括面具脸、四肢肌张力增高、动作迟缓,但是其没有家族史,父母80岁依然健在,有较多文献报道PS-1基因存在从头突变导致阿尔茨海默病的病例报道[8,9],并且也有文献报道PS-1基因突变导致类似额颞叶痴呆和帕金森病样症状的病例报道[10]。除了PSEN1基因突变可以导致早发型阿尔茨海默病,SORL1基因的突变对阿尔茨海默病也具有较高的致病性,也要引起高度重视。大量遗传和生物学证据显示SORL1基因表达蛋白SORLA的功能紊乱与AD密切相关[11,12]。SORLA可以通过结合淀粉样前体蛋白(APP)阻止其加工成β-淀粉样蛋白(Aβ),同时还可以结合Aβ并将其导向溶酶体进行降解,以此两种方式来降低Aβ的总体水平[13]。在此生物过程中,SORLA的CR(APP结合位点)和VPS10(Aβ)结构域发挥重要作用。最近研究发现VPS10结构域的破坏性变异与AD发病相关[14]。我们所纳入的两例患者SORL1基因突变的位点对应的氨基酸改变就位于VPS10结构域,不排除该位点的突变导致SORLA功能的受损。本文中病例3、病例11、 病例12均检出SORL1基因突变,我们已在另外一篇文章《SORL1基因新突变位点所致早发性阿尔茨海默病5例临床报道》中对此3个病例的临床表现及检查结果等进行了详细的描述,感兴趣的读者可以查阅。
我们有11例早发型AD患者完成动态脑电图检查,结果均出现脑电图的异常,虽然没有临床癫痫发作,但多见癫痫样放电,且根据我们的临床观察,有癫痫放电的患者病情进展更快。有研究报道AD患者中亚临床癫痫活动发生率约42%,亚临床癫痫活动可导致AD患者认知功能下降速度显著增快[15];AD与特定的脑节律失调有关,尤其是海马的高活性,亦有研究报道低剂量左乙拉西坦可以抑制AD鼠模型癫痫波及改善AD鼠模型认知功能[16];这提示:对于有癫痫样放电的亚临床癫痫AD患者使用抗癫痫药物以降低神经兴奋性是否能改善患者的认知功能,值得进一步探讨。尽管动态脑电图对AD的诊断缺乏特异性,但我们在临床工作中发现如果脑电图正常的轻度认知功能障碍患者,其脑脊液生物标志物往往也是正常的,因此动态脑电图的检查对AD的鉴别诊断有一定的参考价值。
不同的患者磁共振的表现差异较大,缺乏特异性;患者评估时的年龄越小,神经心理量表得分越高的,其磁共振的表现肉眼看有可能是正常的或者是只有轻度的顶叶萎缩。晚发型AD在结构核磁的表现主要是内侧颞叶萎缩,临床上常用的是目测法,即内侧颞叶萎缩(MTA)视觉评分:通过MRI冠状位,对萎缩的海马进行分级,从正常到严重萎缩分为0~4级[5]。MTA对鉴别晚发型AD的敏感性和特异性较高[17],但对于鉴别早发型AD缺乏特异性;早发型AD相对于晚发型AD,内侧颞叶萎缩不明显,而顶叶、外侧颞叶的改变更加突出[18]。可以对一个高度怀疑阿尔茨海默病的患者进行随访复查,观察内侧颞叶萎缩是否有进展;对于年轻的患者,需要注意有没有以后扣带沟、顶枕沟增宽为表现的顶叶萎缩。
早发型阿尔茨海默病患者临床并不少见,由于患者就诊时年轻,故临床上易被忽略或误诊,对于以记忆力下降为主要表现的中青年患者,需详细的询问病史,尤其是起病特点、病程经过及有无痴呆家族史,需进行全套神经心理评估,若神经心理测试提示显著的情景记忆损害,可建议进一步完善头颅MRI和动态脑电图检查,对于头颅MRI和动态脑电图有异常的,可建议完善相关基因及脑脊液检查,以达到早期诊断、早期干预的目的。
[1]
Tiwari S, Atluri V, Kaushik A, et al. Nair M.Alzheimer's disease international[J]. Int J Nanomedicine, 2019, 14:5541-5554.

DOI

[2]
Jarmolowicz AI, Chen HY, Panegyres PK, et al. The patterns of inheritance in early-onset dementia: Alzheimer's disease and frontotemporal dementia[J]. Am J Alzheimers Dis Other Demen, 2015, 30(3): 299-306.

DOI

[3]
Jack CR Jr, Bennett DA, Blennow K, et al. NIA-AA Research Framework: Toward a biological definition of Alzheimer's disease[J]. Alzheimers Dement, 2018, 14(4): 535-562.

DOI

[4]
王刚. 痴呆与认知障碍神经心理测评量表手册[M]. 北京: 科学出版社, 39.

[5]
Jr JCR, Peterson RC, O'Brien PC, et al. MR-based hippocampal volumetry in the diagnosis of Alzheimer's disease[J]. Neurology, 1992, 42(1): 183-188.

DOI

[6]
Goldmam JS, Hahn SE, Catania JW, et al. Genetic counseling and testing for Alzheimer disease Joint practice guidelines of the American College of Medical Genetics and the National Society of Genetic Counselors[J]. Genetics in medicine, 2011, 13(6): 597-605.

DOI

[7]
Bekris LM, Yu CE, Bird TD, et al. Genetics of Alzheimer Disease[J]. Geriatr Psychiatry Neurol, 2010, 23(4): 213-227.

[8]
Li YS, Yang ZH, Zhang Y, et al. Two Novel Mutations and a de novo Mutation in PSEN1 in Early-onset Alzheimer's Disease[J]. Aging Dis, 2019, 10(4): 908-914.

DOI

[9]
Lou F, Luo X, Li M, et al. Very early-onset sporadic Alzheimer's disease with a de novo mutation in the PSEN1 gene[J]. Neurobiol Aging, 2017, 53: 193.e1-193.e5.

[10]
Hirotaka W, Xia D, Takahisa K, et al. Familial frontotemporal dementia-associated presenilin-1 c.548G>T mutation causes decreased mRNA expression and reduced presenilin function in knock-in mice[J]. Neurosci, 2012, 32(15): 5085-5096.

[11]
Nicolas G, Charbonnier C, Wallon D, et al. SORL1 rare variants:a major risk factor for familial early-onset Alzheimer's disease[J]. Molecular Psychiatry, 2016, 21(6):831-836.

DOI PMID

[12]
Andersen OM, Rudolph IM, Willnow TE, et al. Risk factor SORL1: from genetic association to functional validation in Alzheimer's disease[J]. Acta Neuropathol, 2016, 132(5): 653-665.

PMID

[13]
Willnow TE, Andersen OM. Sorting receptor SORLA-a trafficking path to avoid Alzheimer disease[J]. Journal of Cell Science, 2013, 126(13): 2751-2760.

[14]
Holstege H, VanderLee SJ, Hulsman M, et al. Characterization of pathogenic SORL1 genetic variants for association with Alzheimer's disease: A clinical interpretation strategy[J]. EurJ HumGenet, 2017, 25(8): 973-981.

[15]
Keith A, Kamalini G, Alexander J, et al. Incidence and impact of subclinical epileptiform activity in Alzheimer's disease[J]. Ann Neurol, 2016, 80(6): 858-870.

DOI

[16]
Sanchez PE, Zhu L. Levetiracetam suppresses neuronal network dysfunction and reverses synaptic and cognitive deficits in an Alzheimer's disease model[J]. Proc Natl Acad Sci USA, 2012, 109(42): E2895-E2903.

[17]
Wei MQ, Shi J, Li T, et al. A new age-related cutoff of medial temporal atrophy scale on MRI improving the diagnostic accuracy of neurodegeneration due to Alzheimer's disease in a Chinese population[J]. BMC Geriatrics, 2019, 19(1): 59.

DOI

[18]
Frisoni GB, Pievani M, Testa C, et al. The topography of grey matter involvement in early and late onset Alzheimer's disease[J]. Brain, 2007, 130(3): 720-730.

DOI

Outlines

/